

318
Los reportes señalan menos de 5% de los casos
6
.
Dentro de los fármacos que se han asociado a este
síndrome, la hidroclorotiazida es uno de ellos. Su
importancia radica en que no sólo es un fármaco
de amplio uso en el tratamiento de la hiperten-
sión arterial por su bajo costo y efectividad, sino
porque también este efecto adverso puede suce-
der con dosis terapéuticas, a diferencia de otros
fármacos como algunos opiodes y tocoliticos,
en el que el sindrome se desencadena con dosis
tóxicas
3
.
Los eventos adversos por hidroclorotiazida
más frecuentes son hiponatremia, hipokalemia,
hiperuricemia, hipertrigliceridemia y azoemia.
Por lo anterior, el edema pulmonar no cardiogé-
nico por hidroclorotiazida es muy infrecuente, de
gravedad variable y mortalidad en el 6% de los
casos
7
. Una de las explicaciones al respecto es
porque sus síntomas y signos son muy inespecí-
ficos, por lo cual pocas veces se puede establecer
relación causal con un fármaco determinado, y en
otros, es posible que exista disfunción cardíaca
asociada.
En la literatura, tanto internacional como na-
cional, se señala que el primer reporte de Edema
pulmonar agudo no cardiogénico por tiazida data
de 1968, y hasta la fecha actual se han descrito
poco menos de 50 casos
5
. La mayoría de los re-
portes descritos involucran a pacientes de sexo
femenino (aproximadamente un 90%) entre los
40-50 años de edad
6
. Puede desencadenarse tras
la primera dosis de 25 a 50 mg, o en pacientes
que ya habían usado este tratamiento sin presen-
tar síntomas. También se han descrito casos de
recurrencia, siendo potencialmente más graves
8
.
La etiopatogenia de este síndrome no es
totalmente conocida, aunque se han propuesto
dos mecanismos en base a los reportes de caso.
La primera proposición plantea una reacción de
hipersensiblidad tipo I por la presencia de eo-
sinófilos en el lavado broncoalveolar y niveles
aumentados de IgE plasmáticos, aunque sin mani-
festaciones de urticaria, anafilaxia o angioedema
9
.
Otro reporte de caso plantea una reacción de
hipersensibilidad tipo III en el que se generaría
IgG anti-hidroclorotiazida que se depositaría en
los capilares pulmonares, generando el edema
10
.
Tal como se mencionó anteriormente, el cua-
dro clínico es muy inespecífico, caracterizado por
disnea, dolor abdominal, náuseas, vómitos, fiebre
J. Venegas B. et al.
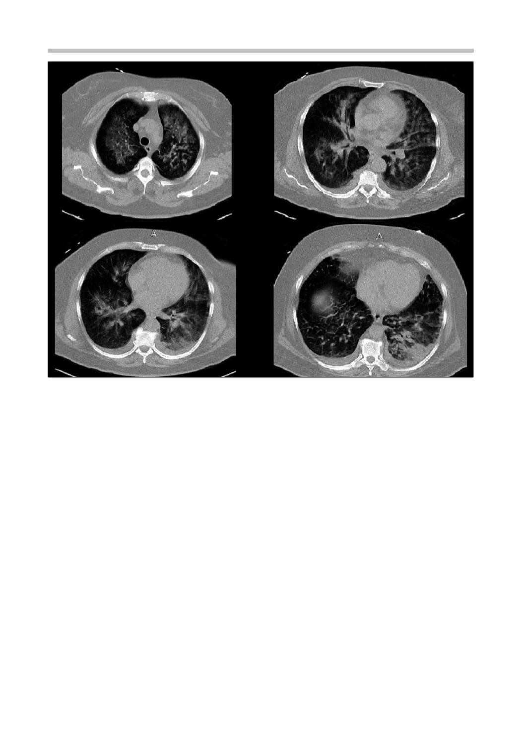
Figura 1.
Tomografía computada de tórax al ingreso (ver descripción en el texto).
Rev Chil Enferm Respir 2017; 33: 316-319