

97
clínico-radiológico concordante con injuria pul-
monar aguda.
Durante su evolución destaca un intento falli-
do de desconexión de VMI asociado a extenso
edema laríngeo y de vía aérea superior, necesi-
tando traqueostomía transitoria y VMI por 40
días. Cursó con obstrucción de vía aérea alta y
baja, pansinusitis, infecciones respiratorias bajas
repetidas y tromboembolismo pulmonar (TEP)
bilateral. Requirió de corticoides parenterales,
antibióticos de amplio espectro, antifúngicos,
terapia broncodilatadora y anticoagulación. Se
mantuvo hospitalizado por 4 meses con manejo
interdisciplinario, kinesioterapia, soporte nu-
tricional, y rehabilitación fonoaudiológica (por
trastorno deglutorio transitorio secundario a que-
madura de vías aéreas superiores).
A los 10 meses de ocurrido el accidente el
paciente persiste con disnea de mínimo esfuer-
zo, tos y expectoración abundante, signología
obstructiva persistente, insuficiencia respiratoria
crónica (IRC) hipoxémica con necesidad de oxi-
genoterapia permanente.
Las pruebas funcionales muestran una altera-
ción ventilatoria obstructiva avanzada no modi-
ficable con un VEF
1
de 770 mL. La saturometría
realizada durante el test de caminata con oxígeno
3 L/min es de 95% al inicio y de 91% a los seis
minutos.
Se concluye que se trata de una enfermedad
grave de la vía aérea con bronquiectasias y
bronquiolitis difusa probablemente obliterante,
secundaria a inhalación masiva de amoniaco. Se
plantea trasplante pulmonar.
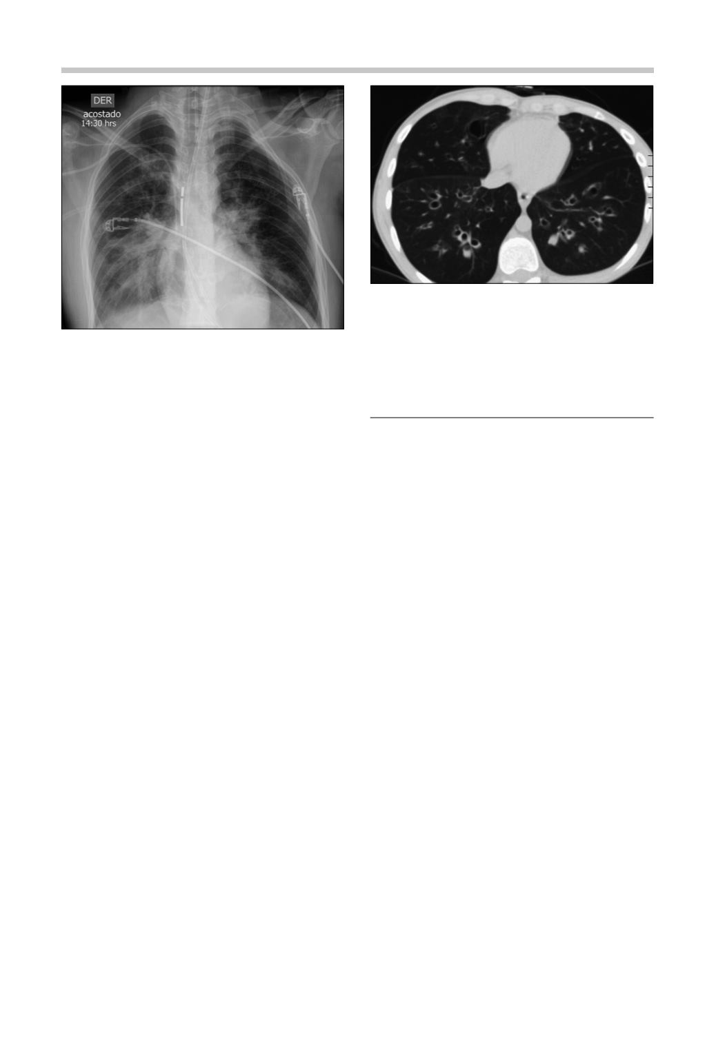
La Figura 4 muestra el compromiso pulmonar
al noveno mes de evolución.
Discusión
Se presentaron dos casos de inhalación aguda
y masiva de NH
3
ocurrido en accidentes laborales
de la industria frutícola. Ambos pacientes desa-
rrollaron en forma aguda una injuria pulmonar,
obstrucción de vía aérea alta y baja e IRA grave
con necesidad de asistencia ventilatoria en el
lugar del accidente y posterior VMI prolonga-
da. Evolutivamente presentaron obstrucción
bronquial persistente, frecuentes exacerbaciones
infecciosas de la vía aérea, bronquiectasias difu-
sas y bronquiolitis obliterante con un deterioro
permanente y severo de la función pulmonar. A
largo plazo se plantea el trasplante pulmonar, en
ambos casos.
El NH
3
es la tercera sustancia química más
abundante producida en el mundo y su uso es
frecuente en actividades agrícolas e industriales,
por lo que podría estar implicado en una varie-
dad de eventos toxicológicos masivos y afectar a
personas en etapas productivas, tal como en los
casos descritos
5
.
No existen datos publicados en Chile en rela-
ción a la incidencia de accidentes laborales por
inhalación de amoniaco u otros gases irritantes.
Entre los años 2005 y 2009, se registraron 57
casos de accidentes laborales con resultado de
muerte por exposición a distintas sustancias
nocivas
8
.
El NH
3
es altamente hidrosoluble y al entrar en
contacto con la piel, la mucosa ocular, respirato-
ria y digestiva, produce mediante una reacción
exotérmica un álcali fuerte: el hidróxido de amo-
nio (NH
4
OH), generando por un lado una injuria
térmica tisular y, por otro lado, una necrosis por
Inhalación masiva de amoniaco. Reporte de dos casos
Figura 4.
TAC de tórax al noveno mes de evolución.
Compromiso pulmonar difuso con zonas de vidrio esme-
rilado, patrón en mosaico, dilataciones y engrosamiento
de las paredes bronquiales.
Figura 3.
Radiografía de tórax al ingreso. Opacidades
pulmonares intersticio-alveolares perihiliares bilaterales.
Rev Chil Enf Respir 2014; 30: 95-99